
Chula Vista Periodontics
Chula Vista Periodontics provides affordable, high-quality dental care to help you smile with confidence and stay healthy—because everyone deserves great care!



We are pleased that you have chosen our office Chula Vista Periodontics to help with your periodontal needs. As a dentist-owned practice, we strive to stay local within our community and not become a large corporate office. We are dedicated to providing state-of-the-art treatment in a comfortable and friendly environment. Dr. Nguyen is a certified Periodontist , a specialist trained in care and treatment of the gums and jawbone. This includes dental implant placement , the use of advanced dental lasers, and a license to administer IV sedation .
Our experienced team is proud to provide patients with the most esthetic results possible for gum grafting and smile design — aimed at covering sensitive roots and balancing an uneven gum line.
We believe that successful periodontal care begins with an informed patient. At our office you will learn the best approach to treat your periodontal needs . You are encouraged to bring your spouse or loved one, ask questions, and share your dental concerns with us. Working as a team with your general dentist, we are committed to improving your overall oral health.

Our primary goal is to save your natural dentition, but if necessary, we are skilled at preservation of gum and jawbone and painless extraction of teeth.
PROCEDURES
We love referrals! Please fill out the form on the following page and also email any radiographs to our office.
REFERRAL FORM
Information you will need to assure the best possible treatment outcome.
POST-OP CAREWelcome to the website of Chula Vista Periodontics ! When you visit our office, restoring your oral health is our top priority. Our entire team is dedicated to providing you with the personalized, gentle care that you deserve. Our practice specializes in the diagnosis and treatment of gum disease, problems with the supporting structures of the teeth, and implant dentistry .
The philosophy of this practice is to provide the highest quality periodontal care in the most ethical, compassionate manner possible and to work with your general dentist to formulate the best treatment plan for each patient. New patients are always welcome in our practice. We’re happy to help you in the event of a dental emergency and we don’t require a referral to schedule an appointment with Dr. Nguyen.
Dr. Susan Nguyen is proud to offer the LANAP Laser treatment , the first and only FDA-cleared laser procedure for the treatment of periodontal disease. LANAP is the gentle gum surgery alternative that does not require the use of a scalpel or sutures. LANAP utilizes advanced laser technology to gently remove harmful bacteria that cause gum disease without harming healthy tissue. If you want to know if you are a candidate for LANAP, call our office today to schedule an appointment for a consultation.
Dental implants are considered the best treatment option for missing teeth that have been lost due to gum disease , tooth decay, or injury. Dental implants are surgically placed in the jawbone where they integrate naturally, forming a strong and permanent restoration. Dental implants are designed to look, feel, and function like your natural teeth !

A periodontist specializes in the prevention, diagnosis, and treatment of gum disease, gum recession, and dental implant placement. While a general dentist focuses on overall oral health, a periodontist has advanced training in treating the supporting structures of your teeth.
Feel free to call or text Chula Vista Periodontics for all your further questions and to book an appointment.
No referral is required to schedule a consultation with Dr. Susan Nguyen at Chula Vista Periodontics. Patients can book directly for gum disease treatment, LANAP laser therapy, or dental implants.
Feel free to call or text Chula Vista Periodontics for all your further questions and to book an appointment.
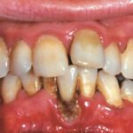
Common signs include bleeding gums, receding gums, chronic bad breath, loose teeth, or discomfort while chewing. These can be early signs of gum disease that require specialist care.
Feel free to call or text Chula Vista Periodontics for all your further questions and to book an appointment.
The cost depends on the severity of gum disease, the number of implants needed, and the type of procedure. We offer personalized treatment plans and financing options.
Feel free to call or text Chula Vista Periodontics for all your further questions and to book an appointment.
LANAP is a minimally invasive laser treatment for gum disease that requires no scalpel or sutures. It promotes faster healing, less discomfort, and preserves healthy tissue.
Feel free to call or text Chula Vista Periodontics for all your further questions and to book an appointment.
Dental implants placed by a skilled periodontist in Chula Vista are safe, highly effective, and can last a lifetime with proper care. They function and look like natural teeth.
Feel free to call or text Chula Vista Periodontics for all your further questions and to book an appointment.
Yes, we provide IV sedation and other comfort options for patients who may feel anxious about periodontal treatment or dental implants.
Feel free to call or text Chula Vista Periodontics for all your further questions and to book an appointment.
Yes, we offer gum grafting and advanced surgical techniques to restore receding gums, cover exposed roots, and improve smile aesthetics.
Feel free to call or text Chula Vista Periodontics for all your further questions and to book an appointment.
Your first appointment includes a full periodontal exam, digital imaging if necessary, and a personalized treatment plan. We also answer all your questions about gum health and dental implants.
Feel free to call or text Chula Vista Periodontics for all your further questions and to book an appointment.
Yes, we welcome emergency patients for urgent gum infections, dental implant concerns, or sudden oral pain. No referral is needed — just contact us directly.
Feel free to call or text Chula Vista Periodontics for all your further questions and to book an appointment.
Chula Vista Periodontics

To submit your questions regarding your dental treatment. Click below to get started!
Professional, friendly and they make me feel like family. I recommend them to everyone.
I had an infected tooth removed and felt so much better after. The antibiotics and care with instructions of what to use made me feel better.
Great customer service at the front end between Lim at reception and Veronica, in billing, who patiently answered all my questions. 🙂 Dr. Nguyen is thorough, works fast and... read more efficiently, and explains procedures concisely. But she always asks for questions, and she always gives it to you straight. 🙂 Thanks also to the friendly assistant (?) in the back.
Excellent perododontist who puts her patients first.
Positive experience.
Care and service excellent. Polite, caring, and professional.
Great experience, friendly staff, Susan Nguyen D.D.S, M.D.S was very informative and really spent time explaining the condition of my oral health. Would definitely recommend
I have been a patient with Chula Vista Periodontics Susan T Nguyen D.D.S, M.S.D.for the past few years. It has been one of the best choices I've made. The care,... read more attention to detail and patience they've had with me all these years, has been unmatched. I truly appreciate everything they have done for me, and would absolutely recommend them to anyone who wants the best dental care possible...
Recomendadisimo..!! 👌
get started below!
We’ll never share your information with anyone.

A confident, healthy smile starts with expert gum care. Schedule your free Chula Vista consultation today and take the first step toward lasting oral health.
Monday : 8:30am – 5pm
Tuesday : 8:30am – 5pm
Wednesday : 8:30am – 5pm
Thursday : 8:30am – 5pm
Friday : Closed
Saturday : Closed
Sunday : Closed